A 2 minute introduction to the project

 Project Cancer - how I created a "Project" to cope with the diagnosis and to live with the disease

YouTube channel (please SUBSCRIBE for updates):

www.youtube.com/@project-cancer/videos

I want to help those who already suffer from cancer, those who know someone who is suffering, and those who want to know more, before they or a relative or friend develops cancer.

I am an entrepreneur, angel investor and now a cancer patient. I’m 67 years old, live in Cambridge, UK, and have had a busy life bringing up three children (now in their 30s), founding a dozen companies, investing in 75 startups and writing two books. I’ve been on the boards of a dozen not-for-profit organisations, taught and lectured in 39 countries and travelled to over 80 countries. I ski, hike, run half marathons, play real tennis and I both enjoy life and believe that I contribute to others’ lives.

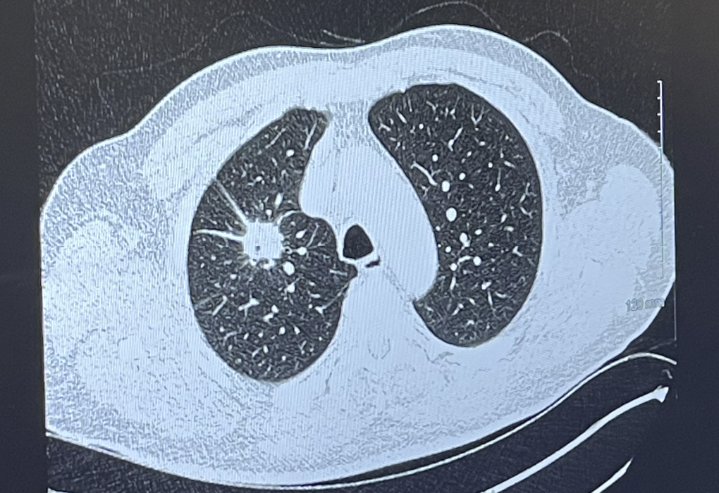
Just before Christmas 2021, I was diagnosed with lung cancer. I am and always have been a non-smoker. I had no obvious symptoms until the cancer had already metastasised into my brain, bones, lymph system and other organs. I am very lucky to have the most common form of NSCLC – non-small cell lung cancer, for which a targeted therapy (Osimertinib) was developed a decade ago. I take a tablet each day and this is working very well. My tumors are all shrinking fast and I am fortunate to have very few side effects. But it is almost inevitable that my cancer will mutate so that the therapy no longer works, and it did mutate after 18 months (June 2023) and I needed radiotherapy on an existing tumour (with a mutation that is not controlled by Osimetinib). This was successful and I continue to live life to the full.

I, my loved ones, and friends, are, of course, hoping that medical advances will allow me to live to 70 and beyond.

I will be doing this project using a mix of formal and informal vlogs, blogs, written material and podcasts. The project will allow me to share what I have experienced and learned about my disease and treatment options. I won’t derive an income from any aspect of this project.

Although I have initial ideas, I need you, my audience, to help develop and evolve the content, so please do provide feedback (positive and negative) and suggestions of what you would like to learn about.

There are many cancer resources available, and I believe my positive pragmatic approach using research and data and interviewing both treatment providers and sufferers, will offer a valuable perspective. Thank you

Feedback most welcome at: https://forms.gle/eCKdCztxf1tRatY57

Below is my lung tumour, when first discovered.